


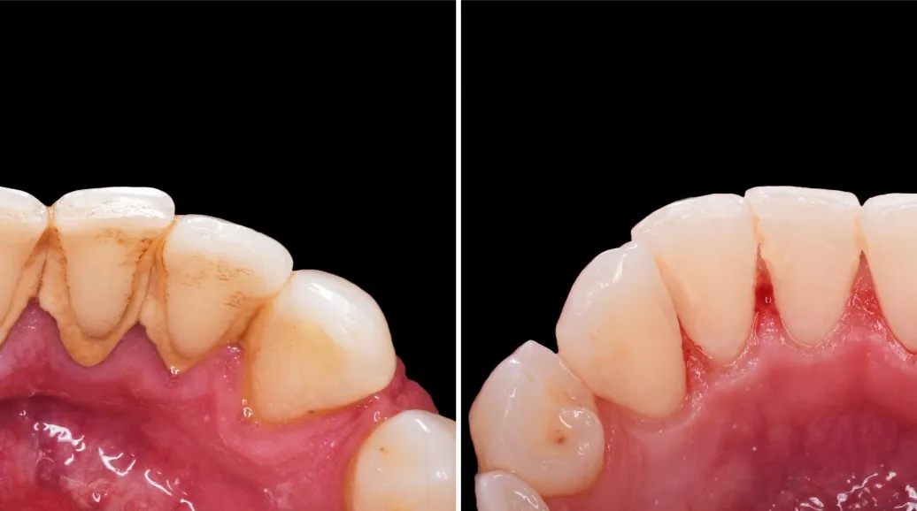
✅ Why Teeth Cleaning Matters
1. Removes plaque & tartar
Even with good brushing, hardened tartar builds up and can only be removed by a dentist.
2. Prevents cavities
Cleaning helps stop tooth decay before it starts.
3. Protects your gums
Reduces the risk of gum disease (which can lead to tooth loss if ignored).
4. Freshens breath
Removes bacteria that cause bad breath.
5. Saves you money
Preventive care is much cheaper than treatments like root canals or extractions.
⚠️ What Happens If You Skip It?
Tooth decay and cavities
Bleeding or swollen gums
Bad breath
Possible tooth loss over time
For more than 10 years, Complete Smile Dental Clinic has been committed to providing high-quality dental care founded on trust, excellence, and patient satisfaction. Over the years, we have grown into one of the top-performing dental clinics, recognized for our consistent delivery of outstanding service, strict adherence to sanitation and safety protocols, and a high standard of professionalism in every aspect of our practice.
Our clinic is equipped with modern dental technology, allowing us to offer accurate diagnoses and effective treatments tailored to each patient’s needs. Behind every procedure is a dedicated team of skilled and experienced dental professionals who prioritize patient comfort, clear communication, and personalized care. We believe that every patient deserves not only a healthy smile but also a positive and stress-free dental experience.
At Complete Smile Dental Clinic, cleanliness and safety are among our highest priorities. We follow rigorous sterilization procedures and maintain a clean, well-organized environment to ensure the protection and well-being of every patient who walks through our doors. This commitment to sanitation, combined with our patient-centered approach, has earned the trust of countless individuals and families throughout the years.
As we continue to grow, our mission remains the same—to provide reliable, compassionate, and professional dental care that helps our patients achieve confident, healthy smiles for life.

Dr. Sophia Bennett, DMD is a dedicated and highly skilled dentist known for her gentle approach and commitment to patient care. Despite her young and dynamic presence, she brings several years of hands-on experience in the field of dentistry, having successfully handled a wide range of dental procedures—from routine check-ups and cleanings to restorative and cosmetic treatments.
She is passionate about helping patients achieve healthy, confident smiles while ensuring every visit is comfortable and stress-free. Dr. Sophia Bennett, DMD continuously updates her knowledge and skills through advanced training and modern dental techniques, allowing her to provide efficient, precise, and high-quality care.
With her warm personality, professionalism, and attention to detail, she has earned the trust of many patients who appreciate her ability to explain procedures clearly and deliver excellent results. Dr. Sophia Bennett, DMD believes that great dental care is not only about treatment, but also about building lasting relationships with her patients through trust, compassion, and consistency.
⭐⭐⭐⭐⭐ Maria L.
“I had an amazing experience at Complete Smile Dental Clinic. The staff were very accommodating, and the dentist expl20ained everything clearly before starting the procedure. The clinic is very clean and organized, which made me feel safe and comfortable. Highly recommended!”
⭐⭐⭐⭐⭐ John R.
“Very professional and efficient service. I came in for a cleaning and check-up, and everything went smoothly. The dentist was gentle and made sure I was comfortable the entire time. Definitely one of the best dental clinics I’ve visited.”
⭐⭐⭐⭐⭐ Angela M.
“I used to be nervous about dental visits, but Complete Smile Dental Clinic changed that for me. The team is very friendly, and the environment is relaxing. You can really see their commitment to cleanliness and patient care.”
⭐⭐⭐⭐⭐ Kevin D.
“Excellent service from start to finish. Booking was easy, the clinic is modern and spotless, and the staff are very professional. They truly care about their patients and the quality of their work shows.”
⭐⭐⭐⭐⭐ Samantha G.
“I’m very satisfied with my experience. The dentist is knowledgeable and took the time to answer all my questions. The treatment was smooth and painless. I will definitely come back and recommend this clinic to my friends and family.”
⭐⭐⭐⭐⭐ Community Testimonial – Annual African Dental Drive
“We are truly grateful to Complete Smile Dental Clinic for their incredible support during the Annual African Dental Drive. Their team showed genuine compassion and dedication in providing free dental care to children in our community who otherwise would not have access to proper treatment.
From dental check-ups to cleanings and basic treatments, they handled each child with patience, kindness, and professionalism. What stood out the most was how they made the children feel safe and comfortable, turning what could have been a frightening experience into something positive and even enjoyable.
Beyond the treatments, they also took time to educate the children about proper oral hygiene, empowering them with knowledge that will benefit them for years to come. The impact of their service goes far beyond dental care—it brings confidence, health, and brighter smiles to so many young lives.
Complete Smile Dental Clinic is not only excellent in their profession but also truly committed to making a difference in communities. We deeply appreciate their generosity and look forward to more partnerships in the future.”
Your Smile Deserves Expert Care.
At Complete Smile Dental Clinic, we combine advanced technology with personalized treatment to give you confident, healthy smiles.
✔ Licensed dental professionals
✔ Safe, modern equipment
✔ Comfortable, patient-first care
📞 Book your appointment today and take the first step to your best smile.
© 2016 Complete Smile Dental Clinic. All rights reserved.